Вагітність двійнею
Вагітність, коли з'ясовується, що в утробі у майбутньої матері, розвивається відразу два малюка, називається багатоплідної. Під час планового огляду у гінеколога, зазвичай, лікар просто підтверджує настання вагітності.

А через деякий час, з допомогою ультразвукового дослідження, може з'ясуватися, що жінці треба чекати появи на світ ні одного, а відразу двох діток. З таким діагнозом, на вагітну маму лягає подвійна відповідальність, а на лікаря – подвійний рівень уваги при спостереженні такої вагітності.
На жінку лягає відповідальність, яка буде виражатися в більш частому відвідуванні лікаря, здачі аналізів, більш дбайливому ставленні до себе та власного здоров'я.
Вагітність двійня – чому так відбувається?
Звичайно, багатоплідною вагітністю називають не тільки, коли в утробі матері розвивається два ембріона, але і три, чотири, п'ять. Просто найбільш часто багатоплідна вагітність настає саме з двійнятами.
Як відбувається вагітність близнюками? Справа в тому, що іноді в момент зачаття відбувається запліднення двох яйцеклітин, і обидві вони виживають, прикріплюються до стінки матки, і починають свій розвиток. Ще одна причина отримання двійні – поділ однієї заплідненої яйцеклітини на два ембріона.
- Головним чинником народження близнюків у медицині вважається спадкова схильність.
- Другим фактором, який обумовлює народження близнюків, це вік майбутньої матері. Зазвичай близнюки народжуються у жінки після тридцяти п'яти років.
- І третій фактор можливої появи близнюків – сучасні репродуктивні технології. До таких належать: гормональне лікування від безпліддя і екстракорпоральне запліднення.

Вагітність двійня – як дізнатися?
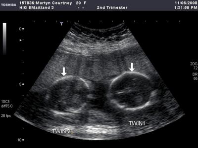
Всього лише кілька десятиліть тому, майбутня мати могла дізнатися про появу на світ одразу двох діток тільки в момент пологів. Сьогодні, коли настав століття, що стрімко розвиваються, нових технологій, за допомогою ультразвукового дослідження, дізнаються про це вже на початкових термінах вагітності. Приблизно починаючи з десятого тижня вагітності, лікар може визначити за допомогою апарату УЗД наявність двох плодів, які розвиваються одночасно.
Нерідко, запідозрити багатоплідну вагітність можливо при деяких суб'єктивних ознаках або нехарактерному самопочуттю жінки. При багатоплідній вагітності, як правило, посилюється і частішає ранкова нудота, що супроводжується блювотою. У деяких випадках багатоплідної вагітності відбувається більш відчутне, ніж під час одноплодовій вагітності, хворобливий стан і набухання молочних залоз.


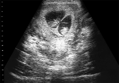
(3D УЗД двійні)
Іноді у майбутньої мами близнюків посилюється апетит (адже їй доводиться тепер їсти за трьох), і швидше охоплює почуття втоми.
Так само, при багатоплідній вагітності у жінки відбувається набагато більш швидкий і значний набір ваги.
Лікар, у свою чергу, приблизно на тринадцятому тижні починає прослуховувати подвійне серцебиття, що так само свідчить про наявність двійні.
Вагітність двійня – яка вага новонароджених і скільки може додати мати?
При нормальному виношуванні близнюків вагітна жінка зобов'язана відвідувати лікаря, що спостерігає вагітність один раз в десять днів, а з двадцять четвертого тижня – раз на сім днів. Часто жінки з багатоплідною вагітністю турбуються про занадто малій вазі своїх дітей, що є абсолютно марним.
Кожен із близнят, як правило, відрізняється від дітей, народжених при нормальній вагітності, не більш ніж на чотириста грам, в меншу сторону. І якщо при вагітності з однією дитиною, за нормами мати може набрати десять – дванадцять кілограмів, то при багатоплідній вагітності – до п'ятнадцяти кілограм.
(ворушіння при вагітності близнюками на терміні 6.5 місяців)
Якщо вага матері набирається швидко і до кінця терміну перевищує норму, це може ускладнити пологи. Тому контроль ваги майбутньої матері дуже важливий, особливо при вагітності двійнятами.
Вагітність двійня – небезпеки
Звичайно, в будь-якому випадку вагітності, за жінкою потрібен особливий догляд і ставлення до неї. Але, у разі багатоплідної вагітності відповідальність підвищується в стільки разів, скільки вона виношує діток. Адже на її організм зростає, як мінімум, удвічі навантаження, а, отже, удвічі зростає рівень небезпеки. Жінок з багатоплідною вагітністю завжди визначають у групу ризику.

- Першою небезпекою для багатоплідної вагітності, є ранній і пізній токсикоз. Часта нудота, як правило, супроводжується блювотою. А це, в свою чергу, веде до зневоднення організму, неправильного кровообігу, і іншим всіляких негативних наслідків, типу викидня або передчасних пологів.
- Другою загрозою для здоров'я вагітної жінки при близнюках є залізодефіцитна анемія. Дане захворювання так само загрожує порушенням у розвитку обох плодів, і функціональності організму майбутньої матері.
- Варикозне розширення вен – ще одна небезпека при багатоплідній вагітності, що виникає за надмірного навантаження на серцевий м'яз та стрімке збільшення ваги.
- Всі ці фактори ризику можуть призвести до передчасних пологів, що є не найкращим результатом багатоплідної вагітності.
Вагітність двійня – поведінка мами
Щоб уникнути будь-яких негативних наслідків багатоплідної вагітності майбутньої матері необхідно неухильно виконувати всі рекомендації спостерігає вагітність лікаря, з підвищеною обережністю ставитися до себе і свого організму, стежити за станом свого здоров'я.
В першу чергу, важливо скласти для себе режим дня, де більшою частиною час буде відведено для повноцінного відпочинку. Це обов'язкова умова для нормального перебігу багатоплідної вагітності. Якщо вимагає організм, необхідно буде навіть дотримувати постільний режим.
Обов'язково слід стежити за своєю вагою, харчуватися теж необхідно індивідуально складеною схемою і раціону. Щоб не набирати зайвих кілограмів, але забезпечувати обох розвиваючих дітей необхідними поживними речовинами, важливо скласти свій раціон так, щоб у ньому були продукти з максимальним кількість заліза, кальцію, фолієвої кислоти, і іншими речовинами, які порекомендує лікар. У раціон харчування вагітної двійнею жінки повинні входити каші, яловичина, печінка, квасоля, дині, шпинат. Важливо також приймати їжу маленькими порціями, але вдвічі частіше, ніж у звичайному житті.
Під час багатоплідної вагітності дуже важливо весь час слухати власний організм, і при найменших неприємних або хворобливих відчуттях звертатися до фахівця – лікаря за консультацією.
Вагітність двійня – як щодо пологів?
Як правило, будь-яка багатоплідна вагітність завершується пологами вже на тридцять сьомому тижні. Обумовлено це занадто високим навантаженням на матку. А коли до тридцять дев'ятого тижня пологи не наступають природним чином, їх починають викликати, стимулювати сутички. Нерідко, щоб під час пологів не сталося нічого поганого і непередбаченого.

Лікарі рекомендують жінці з близнюками пологи у вигляді кесаревого розтину. Така операція є найбільш безпечною для здоров'я та психіки обох малюків. Кесарів розтин намагаються пропонувати жінкам, у яких занадто велику вагу обох немовлят. І настійно рекомендують в тому випадку, коли у неї є фізіологічні протипоказання до пологів у природному їх перебігу.
Існує цілий ряд показань для кесаревого розтину, при багатоплідній вагітності.
- По-перше, це наявність гестозу, різного ступеня тяжкості.
- По-друге, обов'язково робиться кесарів розтин, коли у жінки один або обидва дитини не встигли прийняти правильне положення перед пологами, і у неї діагностується сідничне передлежання.
- По-третє, кесарів розтин робиться при гіпоксії одного або обох дітей. І, по-четверте, показанням до кесаревого розтину є вага обох малюків більше шести кілограм.
- При відсутності всіх цих показань до кесаревого розтину, жінка цілком може народжувати природним шляхом. Згідно зі статистичними даними, кожна друга багатоплідна вагітність закінчується здоровим і природним розродження. Як правило, діти – близнюки з'являються на світ з проміжком у десять – п'ятнадцять хвилин.